Содержание
Зубной налет – предвестник камнеобразования и развития серьезных патологий (кариеса, пульпита). Эта проблема считается главной причиной неприятного запаха изо рта, который не может устранить даже регулярная чистка зубов.
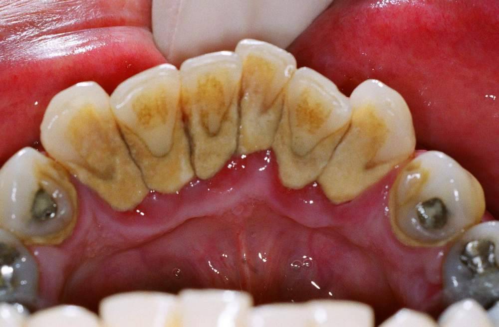
Пятна на зубной поверхности могут появляться даже при тщательном соблюдении всех гигиенических мероприятий. На эмали сначала формируется желтоватая полоска, которая со временем темнеет.
Цвет и интенсивность могут варьироваться в значительной степени (в зависимости от причинного фактора):
- Белый цвет — самая благоприятно протекающая форма, не приводящая к разрушению эмали при соблюдении обычных гигиенических процедур.
- Коричневый оттенок самый распространенный среди курильщиков. Налет встречается среди людей, длительное время контактирующих с медными, латунными и бронзовыми предметами. Этот тип патологии характерен для молочных зубов.
- Зеленый цвет характерен при размножении бактерий, выделяющих в процессе своей жизнедеятельности много хлорофилла.
- Черный — наиболее распространенный, возникающий из-за вредных привычек и неправильного питания. Может свидетельствовать о тяжелых патологических процессах во внутренних органах (печени, селезенки).
Детские средства по уходу за полостью рта
Сейчас в любом специализированном магазине или в аптеке можно найти большое количество средств по уходу за ротовой полость ребёнка. Впервые столкнувшись с таким изобилием молодые родители теряются, и покупают совсем не то что нужно. Они начинают брать все подряд, совершенно не думая о качестве выбранной продукции. Ведь если вам не повезет, и вы принесете домой не очень хорошее средство, то как минимум отобьете у своего чада желание заниматься гигиеной рта.
Поэтому перед тем как купить средства, которые будут чистить зубы вашего ребенка обязательно посмотрите герметично ли они упакованы и не имеют ли специфического запаха.
Также обращайте внимание на состав уходовых средств. Они должны содержать максимум гипоаллергенных компонентов.. Средства, которые помогут правильно ухаживать за детскими зубами:
Средства, которые помогут правильно ухаживать за детскими зубами:
• Салфетки-напальчники• Дентальные салфетки• Специальная щетка напальчник• Щетка с мягкой щетиной• Гелеобразная паста для грудничков• Зубная паста с фруктовым вкусом
С какого возраста необходимо начинать чистить зубы?
Полость рта маленького ребенка необходимо очищать после каждого приема пищи. Для этого рекомендуется давать ребенку кипяченую воду, а также очищать полость рта мягкой марлевой салфеткой или ватным тампоном, смоченным в теплой кипяченой воде. После прорезывания первого молочного зуба необходимо приступать к применению детских зубных щеток с мягкой щетиной.
Правила использования зубной щетки:
- Дети должны чистить зубы детской зубной щеткой, подобранной соответственно возрасту. Длина головки должна равняться ширине 2-3 зубов.
- Края головки должны быть закруглены, чтобы не повредить десны и чувствительную слизистую оболочку ротовой полости.
- Щетка должна быть искусственной. Волокна такой щетины, в отличие от натуральной, отшлифованы, кончики закруглены. Кроме того, натуральные щетины имеют полый канал, в котором скапливаются и размножаются микробы.
- Ручка щетки должна быть объемной и удобной, легко удерживаться рукой ребенка.
- Перед и после чистки зубов необходимо тщательно вымыть щетку. Перед первым применением щетки ее следует вымыть с мылом (мыть кипятком не стоит, т.к. щетины сплавятся и могут повредить зубки и десны ребенка).
- Щетка должна храниться щетиной вверх. Футляр щетки используется только для транспортировки.
- Щетку необходимо менять 1 раз в 3 месяца (один раз в сезон), либо после инфекционных и вирусных заболеваний.
Требования к детским зубным пастам:
- Низкое содержание фтора. Для детей до 6 лет рекомендуется применение зубной пасты, массовая доля фтора в которой равна 0,02-0,05% (200-500 р.р.m). Для детей старше 6 лет этот показатель увеличивается до 0,07-0,1% (700-1000 р.р.m).
- Низкая абразивность, так как эмаль молочных зубов тонкая и нежная.
- Низкое содержание пенообразующих веществ.
- До 3-х лет паста не должна содержать вкусоароматических добавок, для детей от 3-х до 10 лет может содержать фруктово-ягодные отдушки, для детей старшего возраста – фруктово-мятные отдушки.
Как убрать налет с зубов?
Эмаль с течением времени повреждается, на твердой поверхности образуются микроскопические трещинки и сколы. Именно здесь создаются благоприятные условия для скопления остатков пищи и размножения бактериальной флоры. Даже тщательная чистка и лечебная паста не всегда способна справиться с устранением патологического процесса.

Со временем образование твердеет – формируется зубной камень, который невозможно удалить в домашних условиях без помощи квалифицированного стоматолога.
Чтобы эффективно решить вопрос «Как убрать налет с зубов?», следует точно определить локализацию патологического процесса:
- Зубнодесневой патологический процесс развивается на коронке около десен.
- Проксимальный вариант – скопление отложений в местах контакта боковых стенок.
- Поддесневой – визуально определить его крайне трудно. Патологический процесс протекает под деснами, приводя в короткие сроки к развитию осложнений.
Как убрать черный налет на зубах?
Пятна черного цвета формируются при злоупотреблении кофе, черным чаем, алкогольными напитками и наркотическими веществами. Формируется на протяжении многих лет (иногда в течение всей жизни). Если диагностируется в детском возрасте, то чаще имеет грибковую природу (причина – дисбактериоз). Часто возникает после перенесения тяжелых вирусных инфекций.
Как убрать черный налет на зубах:
- Удаление с помощью лазера – наиболее эффективный и щадящий способ, позволяющий надолго избавиться от дефекта. Процедура абсолютно безболезненная, не повреждает эмаль, позволяет избежать кровотечения.
- Ультразвуковая очистка – метод выбора для ослабленной эмали. Действует очень мягко, устраняет даже твердые отложения (в том числе и зубной камень).
- Домашние средства – регулярное использование лечебных паст с высоким содержанием фтора.
- Отличная профилактика – регулярное употребление в пищу свежих фруктов и овощей (особенно полезны морковь и яблоки). Эти продукты оказывают существенную помощь полости рта, предотвращая пятнообразование и улучшая кровообращение десен.
Как убрать желтый налет на зубах?

Желтые отложения на поверхности эмали – наиболее доброкачественные, они легко поддаются удалению и редко трансформируются в камень, отличаются рыхлой структурой. Регулярная чистка жесткой щеткой и отбеливающими пастами поможет эффективно избавиться от отложений и придать улыбке сверкающую белизну.
Главное условие – приобретайте только профессиональную пасту в аптеках или специализированных отделах магазинов. Пользоваться лечебными пастами нельзя постоянно – достаточно месячного курса, проводимого однократно в полугодие.
Как убрать желтый налет на зубах при помощи домашних средств? Можно воспользоваться обычной пищевой содой – тщательно почистите ротовую полость средством в течение 2-3 минут до привычной чистки. Чтобы не повредить эмаль, следует использоваться этот метод раз в неделю.
Какую пасту выбрать?
Чтобы почистить зубы, мало зубной щетки, необходимо подобрать правильную пасту. Во-первых, она предотвращает царапание эмали и поверхности десен, смягчая воздействие щетины и повышая комфорт пользователя. Во-вторых, хорошие пасты за счет специальных компонентов и абразивов размягчают и механически удаляют налет, его становится легче снять щеткой. В-третьих, они содержат вещества, которые способствуют укреплению эмали, предотвращают кровоточивость десен, оказывают терапевтическое действие на полость рта.
Паста с укрепляющим действием должна содержать в составе фтор, людям с чувствительными деснами обычно назначают пасты с противовоспалительными компонентами. Тем, у кого нет стоматологических проблем, подойдут гигиенические пасты — они не оказывают лечебного действия, а лишь помогают удалять зубной налет и дезодорируют ротовую полость, чтобы обеспечить свежее дыхание.
Правильно чистить зубы зубной щеткой с небольшим количеством пасты. Взрослым достаточно 1 см на одну чистку, детям 4-6 лет — одной горошины, а малышам 2-3 лет — количества пасты размером с рисовое зерно. Слишком много пасты нельзя использовать потому, что избыток действующих компонентов может навредить зубам. В частности избыток фторидов может привести к развитию такого патологического состояния, как флюороз, при котором на зубах появляются темные пятна и полосы.
Какой щеткой пользоваться?
Для чистки зубов подходят как обычные зубные щетки, так и электрические. Первые отличаются невысокой ценой, доступны абсолютно всем, подходят для детей до трех лет. Электрические воздействуют на загрязнения в полости рта более интенсивно, удаляют больше зубного налета, лучше очищают межзубные промежутки, но их не рекомендуют применять детям младше трех лет и при некоторых заболеваниях.
При выборе любой щетки — обычной или электрической — нужно учитывать возраст, состояние зубов и десен. Детям выбирают щетки с ультрамягкой короткой щетиной с закругленными кончиками, которые не будут царапать тонкую детскую эмаль и травмировать нежные десны. Взрослым с чувствительными зубами рекомендуют выбирать щетку с мягкой щетиной. Тем, у кого здоровые зубы и десны, нет сильного налета, подойдет щетина средней жесткости. Для борьбы с сильным налетом и зубным камнем выбирают жесткие и очень жесткие щетки.
Важное условие — щетина должна быть синтетической. Она мягче воздействует на десны, быстрее высыхает, в ней гораздо медленнее накапливаются бактерии
Хорошо, если щетка имеет нескользящую прорезиненную ручку. Такие модели хорошо лежат в руке и удобны в использовании, особенно для детей.
Любую щетку нужно менять раз в квартал. Обычную меняют целиком, у электрической замене подлежат съемные насадки.
Особенности тайских паст
Существенная особенность, за счет которой практически любая тайская зубная паста оказывается более предпочтительной в глазах отечественных ритейлеров — это низкая цена. Купить товар штучно или оптом можно не только в Тайланде, но и через Интернет, причем при закупке оптом одна баночка будет стоить всего лишь около 10 рублей (соответственно, себестоимость еще ниже).
Впоследствии эти же пасты продаются в РФ уже по ценам их конкурентов российского или европейского производства (то есть с накруткой до 1000%). Либо чуть ниже — специально для того, чтобы повысить спрос.
Средняя цена, по которой тайская зубная паста продается в Москве — примерно 150 рублей за баночку. Однако при желании легко можно найти и купить её за 100-120 рублей.
Кстати говоря, себестоимость продукта ниже 10 рублей за баночку – это отдельный интересный вопрос. Как удается достичь столь низкой цены? Отчасти ответ на этот вопрос можно получить, если учесть, что в состав многих зубных паст из Тайланда в качестве абразивно-полирующей системы входит глинозем (упрощенно говоря, глина)
Да, глинозем – мощнейший абразив, способный стереть не только зубную эмаль, но и затачивать закаленную сталь, однако кому это важно? Ведь если сказать, что продукт полностью состоит из натуральных компонентов (а глина – чем не натуральное сырье), то люди купят
- Отбеливающую способность. Причем именно она известна более всего — зубную пасту из Тайланда часто покупают для того, чтобы за неделю довести улыбку до голливудской белоснежности.
- Натуральный состав — помимо вышеупомянутого глинозема в состав могут также входить экстракты трав, плодов и прочее растительное сырье (почему, собственно, пасты и называются травяными). Все это придает продукту некоторые антисептические свойства, за счет которых осуществляется профилактика кариеса и болезней десен. Ни нижеприведенной фотографии показан пример травяной зубной пасты, которая одновременно является отбеливающей:
- Сильные ароматические компоненты в составе, обеспечивающие свежесть дыхания.
Кроме того, практически каждая вторая тайская зубная паста имеет оригинальный и очень экзотический вкус и запах. Такая экзотичность является вау-фактором, зачастую становясь главной причиной выбора средства покупателем.
«Я пробовала таиландскую зубную пасту, причем не в самом Таиланде, а уже по приезду домой. Чистит нормально, как и все обычные пасты. Но меня привлек их состав. Например, я купила себе с мангустином и перечной мятой, очень интересный и приятный вкус. Вообще этих паст много там, есть с манго, с гуаявой, камфорой».
Дополнительную необычность товару придает и особая форма фасовки. Многие зубные пасты, продаваемые в Тайланде, фасуются в круглые баночки, из которых содержимое нужно зачерпывать специальной лопаточкой или щеткой (впрочем, делать это щеткой не следует, так как каждый раз вы будете вносить в баночку порцию бактерий).

Некоторые пасты имеют очень густую консистенцию, и для нормальной чистки зубов их нужно брать совсем немного – это делает продукт ещё более экономным, увеличивая срок расходования.
И ещё одна немаловажная особенность тайских зубных паст — обилие и разнообразие их видов.
Правильный уход за зубами
Рациональная гигиена полости рта подразумевает ежедневную чистку зубов утром и вечером, причем оба раза после приема пищи, удаление остатков которой является обязательным условием профилактики стоматологических заболеваний. В тех случаях, когда чистка зубов осуществляется до завтрака, после завтрака, необходимо прополоскать рот водой.
Основные правила чистки зубов:
- Перед чиcткой зубов необходимо вымыть руки с мылом.
- Смочить щетку и нанести на нее пасту (количество пасты равно размеру горошины).
- Прополоскать рот водой.
- Движения, совершаемые зубной щеткой при чистке зубов, должны иметь направленность от десны к краю зуба (верхние: сверху-вниз, нижние: снизу-вверх). Жевательную поверхность боковых зубов очищать движением от боковых зубов к передним. Все эти движения необходимо совершать с открытым ртом. Заканчивать процедуру следует массажем зубов и десен круговыми движениями зубной щетки, зубы при этом должны быть сомкнуты.
- Зубная щетка должна одновременно покрывать 2-3 зуба, поэтому для качественной очистки верхний и нижний зубные ряды делят на участки, на каждом из которых необходимо совершать по 10 описанных ранее движений.
Как приучить ребенка чистить зубы: полезные советы родителям
Если вы заметили, что ваше любимое чадо пытается вас обмануть и вместо того, чтобы чистить зубы просто балуется в ванной, тогда попробуйте объяснить ему для чего нужна гигиена ротовой полости. Попробуйте его немного пристыдить. Спокойным тоном расскажите о том, как относятся окружающие люди к тем, у кого плохо пахнет изо рта.
- Постарайтесь донести до маленького человека что с нечищеными зубами нельзя появляться в садике или на детской площадке.
- Также расскажите ему о том какие проблемы могут у него появиться если он не будет заниматься чисткой зубов.
- Объясните ему что если он не будет этого делать, то моляры начнут болеть, и он не сможет кушать конфеты и мороженое.
Простые советы:
• Негласно контролируйте процесс чистки зубов• Не ругайте малыша если у него не все получается идеально• Купите песочные часы чтобы маленький человек знал сколько времени надо тратить на чистку• Приобретите веселый календарь, в котором малыш будет отмечать дни гигиенических процедур• Периодически читайте ребенку истории о больных и здоровых зубках
Наверное, вы уже поняли, как важна гигиена ротовой полости для маленького человека. И именно от вас зависит как ребенок будет относиться к этому процессу. Поэтому ни в коем случае не пытайтесь давить на свое чадо, всегда оставайтесь спокойными и пытайтесь сделать все чтобы ребенку нравился процесс чистки зубов.
Пасты, действующие на состояние слизистой оболочки рта
Эти средства используются для чистки зубов при гингивите и пародонтозе. В их состав входят такие компоненты:
- фтор;
- антисептики и противовоспалительные средства;
- ферменты;
- минеральные вещества;
- витамины;
- вещества для снижения чувствительности зубов;
- мелкодисперсная сода для удаления бактериального налета;
- экстракты лекарственных растений (ромашки, шалфея, зверобоя, зеленого чая, коры дуба, хвойных растений);
- эфирные масла мяты, шалфея, тысячелистника;
- вяжущие средства (лактат алюминия) для устранения кровоточивости десен.
Пасты Total
Нередко производители зубных паст выпускают средства с комплексным действием, выполняющие одновременно несколько функций: они снижают чувствительность эмали, устраняют воспаление десен, борются с кариесом, неприятным запахом, зубным налетом, осветляют эмаль, имеют длительное действие, рекомендованы для семейного применения, в том числе детям с 12 лет. Такие зубные пасты имеют маркировку Total.
Лечебные пасты
Эти средства покупают в аптеке только по назначению врача, пользуются ними короткое время, необходимое для улучшения состояния ротовой полости. Например, пасту с добавлением антибактериальных компонентов нельзя применять более двух недель из-за угрозы нарушения микрофлоры ротовой полости.
Несмотря на лечебное действие, такие пасты не способны самостоятельно излечивать стоматологические заболевания, поэтому их используют в комплексе с другими методами.
Детские зубные пасты
Детям разрешено пользоваться взрослыми зубными пастами с 14-летнего возраста, до этого времени родители должны покупать специальные детские средства. По статистике, около 30% зубной пасты маленькие дети проглатывают во время чистки зубов, поэтому детские средства для ухода за полостью рта должны быть максимально безопасными.
Особенности детских паст:
- Содержание фтора в них должно соответствовать возрасту: до трех лет – до 200 ppm, до семи лет – не более 500 ppm, до 14 лет – не более 1400 ppm.
- Абразивные компоненты, входящие в состав взрослых паст, слишком агрессивны для детской эмали, поэтому в детских зубных пастах используют диоксид титана или кремния. Индекс абразивности не должен превышать 20 единиц для малышей до 3-х лет, до 14 лет он должен быть не выше 50.
- Пенообразующие средства в детских пастах должны содержаться в минимальных количествах или вовсе отсутствовать.
- Вкусовыми и ароматическими добавками должны служить натуральные компоненты: ментол, ванилин, масло эвкалипта или шалфея.
- Натурального происхождения должны быть и загустители: в их качестве используются пектины, агар-агар.
- В детских зубных пастах должно быть как можно меньше консервантов и искусственных красителей.
Также в состав паст для детей часто входят:
- лизоцим – противомикробное вещество природного происхождения; этот компонент содержится в слюне человека;
- лактоферрин – белковый молочный фермент, обладает противовирусным, антибактериальным, противогрибковым и иммуномодулирующим действиями.
- казеин – белок молока, способствует укреплению эмали.
При некоторых заболеваниях полости рта детский стоматолог может назначить использование паст с лечебными веществами: метронидазолом, хлоргексидином или триклозаном. Но самостоятельно покупать такие пасты ребенку нельзя.
Для каждой возрастной категории выпускаются «свои» зубные пасты, при покупке нужно ориентироваться на надписи на упаковке.
В силу того, что дети младшего возраста не умеют правильно чистить зубы, пасты для них выполняют больше воспитательную функцию, приучают к ежедневной гигиене полости рта. Приятный аромат и вкус, разные цвета зубной пасты, красочный тюбик – все это привлекает малышей и учит их не забывать почистить зубки. Родители должны помогать детям, учить их правильной технике чистки зубов.
Первые молочные зубы у малышей родители очищают при помощи специальной резиновой щеточки или салфетки, намотанной на палец. Старшим детям приобретают зубные щетки, рассчитанные на определенный возраст.
Покупая пасту для взрослых и детей, нужно учитывать имеющиеся проблемы ротовой полости, а также помнить, что не столько важна паста, сколько техника чистки зубов. Конечно, компоненты зубных паст оказывают лечебный или профилактический эффект, но он проявится лишь при правильном уходе за полостью рта при помощи зубной щетки и зубной нити: важна тщательная чистка зубов не менее трех минут, при этом нужно соблюдать технику очищения. Подробнее о правилах чистки зубов можно спросить у своего стоматолога.
Помогла ли вам статья?
Для чего необходима профессиональная чистка зубов?
Среди родителей достаточно широко распространено мнение, что тщательно ухаживать за молочными зубами нет никакой необходимости – они все равно рано или поздно выпадут. Однако это мнение в корне ошибочно. Любая стоматологическая проблема будет оказывать негативное влияние на весь организм. Последствия могут быть весьма серьезными:
- стоматологические заболевания постоянных зубов, которые придут на смену молочным;
- проблемы с пищеварением из-за неправильного процесса жевания пищи;
- дыхательные, почечные и другие заболевания.
Своеобразным «стартом» для развития большинства заболеваний является появление зубного налета. В нем сосредоточено огромное количество вредных бактерий, которые способны спровоцировать развитие кариеса. Если не удалить налет вовремя, начнется процесс минерализации – налет превратится в зубной камень, который просто невозможно устранить при помощи обычных гигиенических процедур.
Защитить своего ребенка от таких рисков позволяет профессиональная чистка. Это полностью безопасная и совершенно безболезненная процедура. Проводить ее детям рекомендуется даже чаще, чем взрослым – каждые 3-4 месяца.
Какие преимущества у профессиональной чистки зубов?
Значимость профессиональной гигиенической чистки сложно переоценить. Данная процедура обладает огромным количеством преимуществ:
- высокоэффективная профилактика всевозможных стоматологических заболеваний;
- идеальный метод очистки труднодоступных десневых каналов;
- предотвращение воспалительных заболеваний десен;
- налет и зубные отложения повторно появляются спустя более длительный срок;
- снижение риска развития заболеваний пародонта;
- укрепление и защита зубной эмали;
- улучшение общего состояния ротовой полости;
- легкий косметический эффект – вследствие удаления пигментации зубная эмаль светлеет на 1-2 тона;
- профессионально выполняемая процедура является совершенной безопасной, не влечет никаких рисков;
- стоимость процедуры является вполне доступной.
Отдельно необходимо отметить отсутствие болевых ощущений. Все проходит достаточно быстро и полностью комфортно для ребенка. В результате при упоминании слова «стоматолог» у него в дальнейшем не возникает неприятных ассоциаций – а значит, если потребуется провести лечение тех или иных заболеваний, малыш будет гораздо охотнее идти на контакт.
Как осуществляют чистку зубов детям?
Чистка зубов ребенку у стоматолога является совершенно безопасной. Данную процедуру выполняют специалисты, которые безупречно владеют различными техниками очистки, могут найти подход к маленькому пациенту, упокоить его при необходимости.
Процедура является не травмирующей. Однако в случае необходимости, чтобы предупредить возможность возникновения даже малейшего дискомфорта, предварительно стоматолог может нанести на десны пациента специальный гель, обладающий обезболивающим эффектом.
Детский организм существенно отличается от взрослого. Ткани являются более уязвимыми – они легко травмируются. Именно по этой причине большое значение имеет возраст пациента. От этого зависит, каким образом будет выполняться процедура:
- самым маленьким деткам, которым менее шести лет, налет снимают при помощи специальных паст и щеток. Специалист тщательно очищает каждый зуб по отдельности, что дает возможность полностью устранить отложения;
- детям в возрасте от шести до девяти лет процедуру проводят с использованием специальных профессиональных паст. Более серьезные вмешательства противопоказаны;
- если пациенту девять лет и более, можно выполнять чистку так же, как взрослым. К примеру, возможно использование аппарата Air Flow и подобного стоматологического оборудования.
Определять возможность проведения процедуры должен врач. Специалисты нашего стоматологического комплекса обследуют ротовую полость, подберут наиболее подходящую методику, учитывая индивидуальные особенности организма маленького пациента. Чистка зубов детям в стоматологии «ПрезиДЕНТ» пройдет комфортно и даст превосходный стойкий результат!
Цены
| Услуга | Цена |
| Прием детского врача-стоматолога | от 500 руб. |
| Профессиональная чистка полости рта при молочном прикусе | от 2 100 руб. |
| Профессиональная чистка полости рта при постоянном прикусе | от 4 300 руб. |
Во избежание возможных недоразумений, просьба уточнять стоимость услуг в клиниках у администратора или на консультации у врача. Цены на сайте не являются публичной офертой.
Профилактика детского кариеса молочных зубов
Кариес молочных зубов можно предупредить, если прислушиваться к рекомендациям стоматологов и соблюдать меры профилактики этого стоматологического заболевания.
Ухаживать за полостью рта с момента появления первого зуба.
Раньше считалось, что чистить зубы маленьким детям нужно примерно с года, когда у них вырастает восемь передних резцов. Современная стоматология пересмотрела данный подход, и сегодня рекомендована чистка зубов у детей сразу, как только прорезался первый молочный зубик. Обычно это происходит в возрасте 6-9 месяцев. Понятно, что младенец не может самостоятельно ухаживать за полостью рта, поэтому данная задача ложится на плечи родителей. Первые зубки чистят специальными напальчниками или детской щеткой без пасты. У щетки должна быть маленькая чистящая головка и ультрамягкая щетина. Ближе к году начинают чистить зубки с зубной пастой без фтора. По мере взросления ребенка размер головки и жесткость щетины могут меняться. Например, для ребенка в возрасте 5 лет можно приобрести зубную щетку с щетиной средней жесткости.
Соблюдайте правила чистки зубов.
Кариес у ребенка может появиться даже при регулярной чистке, если пустить этот процесс на самотек. Дети примерно до 7 лет не могут качественно почистить зубы, поэтому родители должны помогать им и контролировать процесс. Правильный уход за полостью рта предполагает двукратную чистку зубов — утром после завтрака и вечером перед сном. Гигиеническая процедура не должна занимать меньше 2-3 минут
Важно следить, чтобы ребенок тщательно очищал каждый зуб с обеих сторон, чистил жевательные поверхности. Большое количество бактерий скапливается на языке и внутренней стороне щек, поэтому в конце чистки надо научить ребенка удалять налет с этих поверхностей
Плановое посещение стоматолога.
Мало кому из детей нравится лечить кариес. Современные методы позволяют сделать это быстро, безболезненно и без сверления, но только в том случае, если заболевание обнаружено на ранней стадии
Вот почему так важно дважды в год приводить ребенка к стоматологу, даже если у малыша нет жалоб. Врач проверит состояние зубов, даст рекомендации по уходу
Регулярные визиты приучают малыша к посещению стоматолога, помогают избавиться от страха. В дальнейшем такие дети без проблем садятся в стоматологическое кресло и лечат зубы.
Соблюдайте эти меры профилактики и, возможно, Вам не придется лечить ребенку кариес.
Топ электрических зубных щеток для детей
Детям можно покупать электрические зубные щетки. По мнению врачей, они намного эффективнее мануальных, потому что лучше очищают ротовую полость от остатков еды, удаляют микробы и налет из межзубных пространств и позволяют сделать легкий массаж десен. Лучшие детские электрические зубные щетки:
- Oral-B PRO 400 Junior Sensi Ultrathin D16.
- CS Medica SonicPulsar CS-462-G.
- Hapica Kids DBK-1.
- Philips HX6311/02 For Kids.
- Philips Sonicare For Kids HX6322/04.
Если верить отзывам, это лучшие детские зубные щетки, которые можно найти на рынке. Рассмотрим их характеристики.
Oral-B PRO 400 Junior Sensi Ultrathin D16
Зубная щетка для детей старше 6 лет, которая создаёт 20 тыс. пульсирующих и 7,6 тыс. возвратно-поступательных колебаний щетинок. Этого хватает, чтобы полноценно очистить ротовую полость, причем без риска травмирования десен и эмали. Работает устройство от аккумулятора, которого хватает на 12 дней. Прибор оснащен двухминутным таймером и индикатором зарядки.
Плюсы
- таймер и индикатор зарядки;
- прорезиненная ручка;
- герметичный корпус;
- долго держит заряд.
Минусы
- всего одна насадка в комплекте;
- нет датчика нажима.
CS Medica SonicPulsar CS-462-G
Эта зубная щетка хорошо подойдет детям старше 5 лет. Она выполнена в привлекательном дизайне и выпускается с наклейками. Работает устройство от двух пальчиковых батареек. В комплект входит 2 насадки. Прибор создает до 18 тыс. пульсаций в минуту.
Плюсы
- круглая головка;
- 2 насадки;
- красивый дизайн.
Минусы
- нет таймера;
- отсутствует индикатор нажима.
Hapica Kids DBK-1
Щетка для детей от 3 до 10 лет. Работает от одной батарейки AA. Создает 7 тыс. пульсаций в минуту. Прибор подойдет для безопасной чистки даже очень маленьким детям. Интенсивность колебаний достаточная для удаления остатков еды и поверхностного налета. При этом риск травмирования десен и зубов минимален.
Плюсы
- безопасная и удобная;
- выпускается в разных цветовых вариантах;
- дешево стоит.
Минусы
- мало функций;
- нет таймера и датчиков;
- только одна насадка.
Philips HX6311/02 For Kids
Электрическая звуковая щетка для детей от 7 лет. Головка у нее немного вытянута, но при этом она достаточно маленькая и покрывает всего два зуба. Щетинки упругие и мягкие, что позволят удалить налет и остатки еды без вреда для десен и эмали. Звуковая технология обеспечивает разрушение даже глубоких отложений. Работает устройство от аккумулятора, которого хватает на 2 недели. Есть две насадки и столько же режимов работы: стандартная и деликатная чистка. Щетка оснащена функцией привыкания, благодаря которой можно постепенно повышать интенсивность колебаний щетинок.
Плюсы
- есть таймер и индикатор зарядки;
- 2 насадки в комплекте;
- несколько режимов;
- выпускается с наклейками;
- красивый дизайн;
- прорезиненная ручка;
- герметичный корпус.
Минусы
высокая цена;
- нет датчика нажима;
- долго заряжается — 24 часа.
Philips Sonicare For Kids HX6322/04
Электрическая звуковая щетка для детей от 3 лет. Изготавливается по технологии Sonicare, за счет которой можно добиться максимального чистящего эффекта. Прибор создает 31 тыс. движений в минуту и формирует в ротовой полости поток из воды и пасты, которые вымывает не только еду, но и микробы. Эту щетку можно подключить через Bluetooth к смартфону, чтобы синхронизировать ее с обучающими приложениями. В комплекте идут две насадки, одна из которых предназначена для малышей в возрасте 3 лет.
Плюсы
- интересный дизайн;
- мини-насадка в комплекте;
- высокая мощность;
- подключение к смартфону;
- наличие таймера;
- долго держит заряд — 51 день.
Минусы
- высокая стоимость;
- заряжается почти сутки.
Щетки детям нужно подбирать на основе индивидуальных физиологических особенностей. Не забывайте менять их каждые 2-3 месяца. Насадки электрических моделей рассчитаны на 3-4 месяца. Внимательно следите за состоянием щетинок. Если они расслаиваются, замените головку прибора.
Когда начинать чистить зубы ребенку?
Большинство детских стоматологов считают, что начинать ухаживать за зубами надо сразу после их появления. Но это не означает что вы должны купить шестимесячному малышу пасту и щетку, и начинать его учить правилам ухода за ротовой полостью. В первый год жизни гигиеной его рта должны заниматься родители.
- А так молочные зубы имеют достаточно тонкий слой эмали, то для их очищения нельзя использовать жесткую щетку. Попробуйте проводить очистку обыкновенной марлей, предварительно смоченной в растворе марганцовки или просто в подсоленной воде.
- После того как ребенку исполнится год можете купить ему детскую пасту (в ней не должно быть фтора) и резиновую щетку. Она будет мягко очищать полость рта и массировать десны малыша.
- Приблизительно к двум годам резиновую щетку можно заменит на модель с мягкой щетиной. В этом возрасте уже можно начинать рассказывать своему чаду как надо ухаживать за зубками и даже давать самостоятельно проводить чистку.
После трех лет ребенок должен знать, как правильно чистить моляры и уметь делать это самостоятельно.




































