Какое лечение назначается после обследования
Доктор проведет осмотр и при необходимости назначит лечение:
- При атрофии эндометрия, выявленной в молодом возрасте, а также в случае обнаружения гиперплазии назначают гормональные препараты. Такое лечение даст возможность эндометрию приобрести нормальную толщину.
- При многочисленных крупных миомах, особенно у женщин, не планирующих иметь потомство, назначается дополнительное обследование и проведение операции по удалению матки вместе с опухолями.
- При эндометрите показаны противовоспалительные препараты и антибиотики. Назначается анализ на половые инфекции, поскольку такое заболевание часто вызывается распространением инфекционного процесса вверх по половым путям.
При обнаружении в образцах тканей злокачественных и предраковых клеток женщину направляют к онкологу, который проведет дальнейшие исследования и назначит лечение. В зависимости от степени злокачественности процесса, размера опухоли, состояния здоровья пациентки оно может быть хирургическим, лучевым, химиотерапевтическим, гормональным. Таким женщинам нужно будет постоянно наблюдаться у врача, чтобы не пропустить развитие опухоли
После гистероскопия эндометрия, не сопровождающаяся какими-либо оперативными вмешательствами, беременность можно планировать в следующем менструальном цикле. В проведении выскабливания, а также других операций или процедур этот вопрос нужно уточнить у врача.
Гистероскопия – достаточно щадящие, но при этом высокоинформативное исследование, позволяющее осмотреть поверхность эндометрия и выявить имеющиеся патологии без возникновения неприятных последствий. Во время неё можно провести различные лечебные процедуры, позволяющие улучшить состояние здоровья женщины, страдающей гинекологическими заболеваниями.
При кровотечениях, нарушениях менструального цикла, бесплодии, боли внизу живота и других признаках патологий матки нужно обратиться к гинекологу Университетской клиники для прохождения гистероскопии эндометрия.
Здесь созданы все условия для обследования и лечения. В клинике имеются различные модели гистероскопов, позволяющие осмотреть матку, выявить даже незначительные очаги патологии и провести необходимые процедуры.
Продолжение статьи
- Текст 1. Гистероскопия эндометрия
- Текст 2. Послеоперационный период после гистероскопии эндометрия
- Текст 3. Какие патологические процессы могут быть обнаружены при проведении гистероскопии эндометрия
- Текст 4. Все про гистероскопию полипов
- Текст 5. Расшифровка гистероскопии: технические параметры проведения гистероскопии, указываемые в протоколе обследования
Лечение Синдрома Ашермана – вопросы и ответы
Врачи-гинекологи Университетской клиники ответили на распространенные вопросы пациенток относительно лечения внутриматочных спаек, чтобы помочь принять правильное решение и развеять все сомнения о необходимости лечения.
“Подскажите, если я в будущем не планирую иметь детей, нужно ли мне лечить синехии, которые обнаружил врач во время диагностической гистероскопии? Они образовались после аборта, который был три года назад, но все эти годы никак себя не проявляли.”
Внутриматочные спайки могут длительное время не проявляться, но это не значит, что их можно не лечить. Разрастаясь, оболочка, выстилающая матку, заменяется грубой соединительной тканью, которая со временем полностью перекрывает выход для менструальных выделений. В результате развивается состояние, при котором в полости матки скапливается большое количество менструальной крови. Эту патологию называют гематометра и считают опасной для жизни и здоровья пациентки — из-за риска прорыва матки и выхода содержимого в брюшную полость.
“Можно ли избавиться от синехий без операции, при помощи таблеток или уколов? Я давно хочу ребенка, но боюсь делать операцию, так как подруги говорят, что мне во время процедуры могут повредить матку.”
Лечение Синдрома Ашермана подразумевает разрушение спаек, поэтому без операции не обойтись. Однако страхи и беспокойства по поводу этого вмешательства необоснованны.
Разделение синехий проводится при помощи специального эндоскопического прибора — гистероскопа, благодаря которому врач видит матку изнутри. Прибор, оснащенный оптической и осветительной системами, вводится в полость матки через влагалище. Операцию делают под местным наркозом или в состоянии медикаментозного сна.
Осмотрев матку, гинеколог выбирает наиболее подходящий способ разделить сращения стенок, сохранив при этом функционирование матки
Важно, что каждое движение инструментов врач контролирует визуально — это исключает риск прокола и другого повреждения органа. . “Мне поставили диагноз «Синдром Ашермана» и назначили операцию по удалению внутриматочных синехий
Я так понимаю, что врач разрежет участки сращения стенок скальпелем, или это происходит по-другому?”
“Мне поставили диагноз «Синдром Ашермана» и назначили операцию по удалению внутриматочных синехий. Я так понимаю, что врач разрежет участки сращения стенок скальпелем, или это происходит по-другому?”
Для разделения синехий не всегда используются привычные хирургические инструменты. В тех случаях, когда плотность сращений невелика, а площадь не превышает 25% органа, разделить сросшиеся участки можно, используя корпус самого гистероскопа. Для рассечения плотных и обширных синехий применяют эндоскопические ножницы или щипцы.
В некоторых клиниках применяется также безопасная методика лазерного разделения сращений матки. Лазерный луч испаряет патологические участки тканей, не затрагивая при этом здоровую часть слизистой оболочки. Эта методика еще и бескровна, ведь вместе с тканями синехий коагулируются (запаиваются) и сосуды, что препятствует развитию опасных кровотечений.
“Родственнице делали гистероскопию. После процедуры врач назначил на протяжении 6 месяцев принимать оральные контрацептивы. Скажите, если мне сделают эту же операцию для разделения внутриматочных синехий, мне тоже придется пить противозачаточные?”
После удаления маточных сращений назначается гормональная терапия, но оральные контрацептивы в этом случае не используются. Противозачаточные таблетки вызывают атрофию (отмирание) слизистой оболочки матки (эндометрия), а врач в этом случае преследует противоположные цели. После гистероскопии по поводу синехий назначают гормоны гестагены и эстрогены, которые способствуют восстановлению эндометрия и нормализации менструального цикла.
“У меня ответственная работа, и я не могу себе позволить длительный больничный. Меня интересует, долго ли я пролежу в больнице после гистероскопического удаления внутриматочных сращений?”
Операция по разделению синехий считается малотравматичной, благодаря короткому и простому для пациентки восстановительному периоду. Женщина не госпитализируется, если процедура прошла успешно. При этом пациентка может выполнять любую работу, не связанную с тяжелым физическим трудом.
Классификация полипов матки
Различают несколько типов полипов. Для определенных видов этих новообразований применяется специфическое лечение
Поэтому врачу важно определить разновидность полипа. По гистологическому строению полипы бывают:
- Железистые – в структуре преобладают железистые клетки.
- Железисто-кистозные – в полипах имеются железистые ткани и кистозные полости.
- Железисто-фиброзные – полип состоит из соединительной и железистой ткани.
- Фиброзные – полип преимущественно состоит из соединительной ткани4.
Отдельно выделяют аденоматозные полипы. Они образуются из железистого эпителия, но отличаются чрезмерным разрастанием (гиперплазией) ткани. Именно аденоматозные полипы могут перерождаться в злокачественные опухоли из-за ускоренного размножения клеток.
Разновидности гистероскопии
Выделяют диагностическую или хирургическую гистероскопию. Диагностическая подразумевает только осмотр эндометрия и эндоцервикса на предмет наличия патологий. Исследование выполняется в амбулаторных условиях, не требует серьезного наркоза (достаточно местного обезболивания и седации) и долгого периода восстановления. Поэтому она получила название офисная гистероскопия. По ее результатам врач составляет план дальнейшего ведения пациентки.
Хирургическая гистероскопия позволяет провести диагностику и одномоментное лечение выявленных патологий. Она проводится в условиях операционной и требует полноценного наркоза. Назначают процедуру либо при уже установленном диагнозе, либо, когда вероятность обнаружения патологии крайне высока.
Мы специализируемся на проведении хирургической гистероскопии, поскольку считаем, что инвазивные диагностические методики могут быть успешно заменены более безопасными исследованиями. Это поможет поставить верный диагноз без рисков хирургических осложнений.
Диагностика полипов матки
Изначально врач собирает анамнез, проводит первичный осмотр и расспрашивает пациентку о характере ее жалоб. Затем выполняются инструментальные исследования, среди которых – УЗИ, гидросонография, гистероскопия и гистологическое исследование. Рассмотрим подробнее эти диагностические методы, которых нужно пройти для получения диагноза.
УЗИ (ультразвуковое исследование)
Это наиболее доступный диагностический метод, который используется и для скрининговых исследований. Трансвагинальное УЗИ позволяет выявить новообразование не только в теле, но и в шейке матки.
Важно!
По правилам такое УЗИ делают на 5-8 день менструального цикла. Если нарушить сроки диагностики, то возрастает вероятность ошибок. Связано это с разрастанием эндометрия, который попросту может закрыть патологические образования.
Гидросонография
Этот метод предусматривает введение в полость матки контрастного вещества и проведение УЗИ. Данная методика используется все реже. Связано это с ее трудоемкостью.
Полипы на снимке УЗИ. Фото: Prz Menopauzalny / Open-i (CC BY-NC-ND 3.0)
Гистероскопия
Сегодня это один из самых информативных методов диагностики полипов матки. С его помощью можно определить размер, форму и точную локализацию полипа. Суть процедуры заключается во введении в цервикальный канал, а затем и в матку гистероскопа – тонкой гибкой трубки, снабженной камерой и источником света.
При гистероскопии врач оценивает стенки маточной полости, наличие патологических структур, а также состояние слизистой и в цервикальном канале.
Как правило, гистероскопическое исследование проводится на 5-7 сутки менструального цикла. В этот период у эндометрия минимальная толщина и незначительная кровоточивость.
Гистологическое исследование
Любое образование, которое удаляется, в дальнейшем подлежит гистологическому исследованию. Поэтому диагностический процесс продолжается и после удаления полипа. Делается такое исследования для исключения злокачественных опухолей.
Рак под маской полипа
Бывают случаи, когда диагностированный полип матки оказывается злокачественной опухолью. Это не диагностическая ошибка. Очень редко встречаются такие формы рака эндометрия, которые на УЗИ выглядят как полипы. Поэтому заключительным диагностическим этапом является гистологическое исследование. Удаленный в ходе операции полип отправляют в лабораторию, где проверяют его на наличие злокачественных клеток.
Другие виды исследований
В зависимости от возраста женщины и наличия сопутствующих заболеваний возможно проведение и других исследований. Например, диагностики состояния органов мочеполовой системы, пищеварительного тракта, сердца, сосудов и других органов. Это нужно для оценки рисков оперативного вмешательства (особенно, если речь идет об удалении матки) и гормональной терапии.
Когда обратиться к врачу
Обращаться нужно при появлении первых признаков расстройства в мочеполовой системе. Но лучше выявлять полип при плановом осмотре у гинеколога. В таких случаях полип, как правило, небольшой, и его удаление не сопровождается серьезным дискомфортом для женщины.
Лечение гиперплазии эндометрия
Удаление разросшегося эндометрия проводится хирургическим путем в условиях стационара или специализированного медцентра. В случае массивного кровотечения операцию проводят по экстренным показаниям.
После удаления гиперплазированной слизистой полости матки материал отправляется на гистологическое исследование. По результатам клеточного анализа назначают препараты, обеспечивающие нормализацию гормонального фона и профилактику рецидива.
В качестве противорецидивной терапии прописывают оральные контрацептивы и другие гормональные средства. Лечение подбирается с учетом возраста пациентки, состояния ее здоровья, исходного уровня гормонов в крови и целого ряда других факторов.
Причины внематочной беременности
Эктопическая беременность — многопричинная патология, но основным фактором считаются функциональные и анатомические нарушения, приводящие к затруднению продвижения оплодотворённой яйцеклетки к полости матки.
Анатомические изменения органов репродуктивной системы
К этой группе факторов относятся: относятся сужение просвета фаллопиевой трубы, постабортивные рубцы, нарушение структуры слизистой поверхности, неправильная форма органов. Среди причин анатомических изменений можно отметить следующее:
- Воспалительные процессы в органах репродукции (матке, яичниках, маточных трубах). Основная причина воспалений — это ЗППП(хламидиоз, гонорея, микоплазмоз, генитальный герпес, трихомониаз). В 52% случаев после воспалений, связанных с ИППП изменяется поверхность репродуктивных органов.
- Воспаление и инфекции, связанные с переохлаждением (застужены придатки) вследствие ношения капроновых колготок и коротких юбок в холодное время года и инфекции, занесенные из других органов (например, из мочевого пузыря).
- Долговременное ношение (больше разрешенного срока) внутриматочной спирали или ее неправильная установка в 4% случаев приводит к внематочной беременности. Риск возрастает в 20 раз по сравнению с другими видами контрацепции. Длительное использование механических средств контрацепции (внутриматочные спирали) приводит к уменьшению сократительной способности фаллопиевых труб и атрофии реснитчатого эпителия, выстилающего внутреннюю поверхность.
- Нерассосавшийся рубец после хирургического вмешательства (удаление миомы матки, кесарево сечение).
- Воспаление брюшной полости (перитонит) по причине внесения инфекции во время операции.
- Хирургические аборты, выскабливания, повреждающие поверхность полости матки и приводящие к спайкам маточных труб.
- Различные опухоли и разрастания матки, приводящие к деформации полости и невозможности прикрепления эмбриона. Сюда можно, например, отнести миомы и полипы.
- Хронический сальпингит — хроническое воспаление, вызванное патогенными микроорганизмами
Гормональный и другие факторы
Иногда внематочная возникает по причинам, никак не связанным с травмами органов и изменениями, вызванными ИППП. Сюда относятся:
- Эндокринные заболевания гипоталамуса и надпочечников.
- Прием гормональных препаратов для лечения бесплодия (стимулирующие овуляцию) и бесконтрольная гормональная контрацепция, в том числе, связанная с экстренным прерыванием беременности.
- Экстракорпоральное оплодотворение (у каждой 20-й женщины после ЭКО наступает внематочная беременность).
- Нарушение выработки простагландинов, отвечающих за сократительную способность маточных труб
- Повышенная биологическая активность зиготы, приводящая к прикреплению эмбриона в фаллопиевой трубе
- Низкая подвижность сперматозоида приводит к тому, что зигота за отведённые ей 2 дня не доходит до матки и крепится в маточной трубе.
- Эндометриоз матки — разрастание слизистой поверхности органа
Причины возникновения полипов в матке
Появление полипов слизистой матки связано с избыточным действием эстрогенов. Женские половые гормоны, которые вырабатываются в первую фазу менструального цикла, являются причиной возникновения полипов в молодом возрасте. Во время менопаузы значение имеет нарушение баланса эстрогены – прогестерон.
Есть данные, что возникновение полипов связано с хроническим эндометритом и цервицитом. Немаловажную роль в возникновении полипов имеют выскабливания полости матки и аборты. Факторами риска появления полипов в матке является избыточный вес, сахарный диабет и повышенное артериальное давление.
Противопоказания
- Наличие декомпенсированных хронических заболеваний, которые могут препятствовать проведению наркоза, например, сердечно-сосудистая патология.
- Наличие ИППП и вульвовагинитов.
- Наличие заболеваний, сопровождающихся склонностью к кровотечениям.
Специалисты «Евроонко» внимательно следят за состоянием пациентов не только в послеоперационном периоде, но и на начальном этапе. В связи с этим, процедуру мы выполняем только после того, как убедимся в отсутствии у пациента противопоказаний. Записаться на консультацию по поводу полипов матки Вы можете по телефону:
Запись на консультацию круглосуточно
+7 (495) 668-82-28
Виды анестезии
В зависимости от предстоящих манипуляций, гинеколог предложит один из следующих видов обезболивания:
- Местная парацервикальная анестезия. С введением в шейку матки раствора новокаина или его современных аналогов. Эффект наступает через 3-5 минут. Такой наркоз при гистероскопии помогает безболезненно пройти через шейку матки без расширения цервикального канала. Местная анестезия применяется при офисной гистероскопии. Так называют обследование без хирургического вмешательства.
- Внутривенный наркоз. Обеспечивает глубокое и стабильное погружение в сон. В качестве наркозных средств используются препараты: кетамин, пропофол и их сочетание. Пробуждение и восстановление после внутривенной анестезии происходит быстро: через пару часов после процедуры можно уйти домой.
Прогноз
При своевременном и адекватном лечении прогноз благоприятен.
В раковую опухоль могут перерождаться аденоматозные полипы, диаметром более 10 мм, что требует к себе повышенного внимания. Повышаются неблагоприятные риски при бесконтрольном приеме гормональных препаратов, в том числе КОК. Также риск возрастает при использовании ВМК, в том числе внутриматочной спирали.
В ряде случаев возможен рецидив патологии. При этом повышаются риски озлокачествления полипов до 6% от всех случаев рецидива. После удаления полипа необходимо обязательная гормональная терапия с контролем у лечащего гинеколога.
Во время беременности наличие полипа в матке требует повышенного внимания акушер-гинеколога для исключения развития гипоксии плода и ПОНРП.
Почему надо удалять полип
Полип имеет неприятную тенденцию перерождаться в злокачественную опухоль, поэтому от него надо обязательно избавиться. Разросшиеся полипы мешают зачатию. При беременности полипы начинают быстро увеличиваться в размерах, из-за них назначается кесарево сечение при родах. Поэтому, вопрос нужно ли удалять полип цервикального канала отпадает сам по себе.
Не будьте беспечны при обнаружении полипа, как можно скорее пройдите обследование и лечение. Чем дальше зайдет патология, тем больше опасность осложнений.
Полип удаляется современными методами быстро и безболезненно, не надо бояться операции. Методы, при которых ради удаления полипа пациентку усыпляют наркозом, применяются все реже, уступая место высоким медицинским технологиям.
Полип эндометрия и беременность
Успешное зачатие и беременность могут протекать даже при наличии полипов эндометрия. В большинстве случаев беременность проходит без осложнений. При наличии каких-то жалоб беременной необходимо обратиться к врачу. Обычно при возникновении опасности для матери или плода женщину оправляют на стационарное лечение, необходимое для сохранения беременности.
Чем опасно сочетание полип эндометрия и беременность:
- Интенсивным увеличением полипов из-за повышения уровня эстрогена;
- Хроническим невынашиванием;
- Выкидышем;
- Кровотечениями во время беременности;
- Увеличением риска инфекционных болезней;
- Железодефицитной анемией;
- Преждевременными родами;
- Послеродовым кровотечением.
Эти осложнения встречаются достаточно редко, однако они могут утяжелить или прервать беременность, причинить вред матери или ребенку. Но обычно беременность протекает на фоне слабых болей внизу живота и неинтенсивных кровотечений. Но даже если полип эндометрия на беременность не повлиял и роды прошли успешно, женщине все равно необходимо провести повторное обследование и пройти курс лечения. В редких случаях полипы эндометрия могут исчезнуть во время вынашивания плода.

Как лечить полип в матке?
Пациентам назначают приём противовоспалительных и гормональных препаратов. Как правило, заболевание протекает на фоне повышенного уровня эстрогена в крови, поэтому для коррекции гормонального баланса назначаются пероральные контрацептивы. Лечение полипов с помощью препаратов зависит от структуры новообразования и его размеров.
Для решения проблемы используют следующие лекарственные средства:
- Утрожестан.
- Дидрогестерон.
- Прогестерон.
Последний в чистом виде для лечения патологических процессов не используется, так как может привести к развитию множества осложнений. При назначении курса лечения врач должен учитывать особенности менструального цикла пациентки, её возраст и возможные сопутствующие заболевания других систем.
Симптомы полипа в матке
Мелкий полип шейки матки, полип цервикального канала, полип эндометрия симптомов не имеет (ничем себя не проявляет) и в большинстве случаев выявляется при ежегодном профилактическом осмотре гинеколога.
По достижению определенного размера полип шейки матки может травмироваться при половом акте или вагинальной мастурбации, проявляясь контактным кровотечением.
Расширение полипом цервикального канала вызывает постоянное истечение слизистой пробки, что проявляется слизистыми выделениями независимо от фазы менструального цикла.
Крупный полип цервикального канала и полип эндометрия могут препятствовать отторжению и эвакуации эндометрия (слизистой оболочки полости матки) во время менструации. Нарушение процесса отторжения эндометрия сопровождается маточным кровотечением.
Полип шейки матки, полип цервикального канала, полип эндометрия могут являться механическим препятствием на пути сперматозоидов, перекрывая канал шейки матки и устья маточных труб (вход в маточные трубы), что проявляется бесплодием. Таким образом,
- симптомом полипа в матке могут быть нетипично ОБИЛЬНЫЕ и длительные МЕНСТРУАЦИИ, нередко переходящие в маточное кровотечение;
- симптомом полипа цервикального канала могут быть КОНТАКТНЫЕ КРОВОТЕЧЕНИЯ (кровотечения, возникающие в процессе полового акта и при использовании фаллоимитатора);
- симптомом полипа в матке являются МАТОЧНЫЕ КРОВОТЕЧЕНИЯ;
- симптомом полипа шейки матки, цервикального канала и полипа эндометрия может быть БЕСПЛОДИЕ;
- симптомом полипа цервикального канала являются обильные СЛИЗИСТЫЕ ВЫДЕЛЕНИЯ из влагалища, не связанные с периодом овуляции.
Однако полип в матке в большинстве случаев симптомов не имеет, формируется и существует БЕССИМПТОМНО, никак себя не проявляя.
Что должна делать женщина после удаления полипа в матке
В течение 2-3 недель (зависит от метода удаления полипа) у женщины могут быть незначительные кровянистые выделения. В связи с этим не рекомендуется принимать горячую ванну и посещать сауну, что может усилить кровотечение. Не рекомендовано принимать аспирин, поскольку этот препарат также способен вызвать или усилить кровотечение. Противопоказан подъем тяжестей в течение месяца. После выскабливания нужно следить за выделениями из половых органов и самочувствием.
Во избежание осложнений после оперативного вмешательства следует отказаться от спринцеваний и половых контактов в течение месяца. После удаления полипа в матке показана гормональная терапия для профилактики рецидива. Поскольку факторами риска полипов является избыточный вес и гипертоническая болезнь, то исключение этих факторов снизит возможность рецидива полипов.
Многие женщины перенесли удаление полипа в матке и отзывы, оставленные ими на страничках форума, могут помочь другим женщинам в выборе клиники и врача. Как много значит для женщины поддержка и советы других женщин, у которых уже в прошлом удаление полипа в матке, поэтому не стесняйтесь оставлять отзывы о своих ощущениях после операции.
Ведущие специалисты по лечению полипов на Северном Кавказе
Ермолаева Эльвира Кадировна
Является известным и признанным на Северном Кавказе специалистом по лечению полипов шейки матки, цервикального канала и полипов эндометрия. Опытный врач ультразвуковой диагностики.К ней обращаются отчаявшиеся и напуганные девушки и женщины.
Ермолаев Олег Юрьевич
Кандидат медицинских наук, специалист по лечению полипов с 25-летним успешным опытом.Опытный врач УЗД.
Щепкин Пётр Сергеевич
Врач гинеколог, специалист по лечению полипов в матке. Врач УЗД с большим опытом.
![]() | МЕЖДУНАРОДНЫМ ПРИЗНАНИЕМ репутации и достижений Курортной клиники женского здоровья в разработке и внедрении эффективных и безопасных лечебных методик и качества предоставляемых медицинских услуг ЯВЛЯЕТСЯ НАГРАЖДЕНИЕ Курортной клиники женского здоровья в Пятигорске Международным СЕРТИФИКАТОМ КАЧЕСТВА SIQS в сфере медицины и здравоохранения. Международный Сократовский Комитет, Оксфорд, Великобритания и Швейцарский институт стандартов качества, Цюрих, ШВЕЙЦАРИЯ. |
Мы работаем без выходных и праздничных дней:
понедельник – пятница с 8.00 до 20.00,
суббота, воскресенье, праздничные дни с 8.00 до 17.00.
Удаление полипа в матке, полипа цервикального канала, полипа эндометрия в Пятигорске по предварительной записи по многоканальному телефону 8 (800) 500-52-74 (звонок по России бесплатный), или +7 (928) 022-05-32.
Задать ВОПРОС ОНЛАЙН о лечении полипа в Пятигорске можно по адресу info@kurortklinika.ru. ЗАПИСЬ ОНЛАЙН на удаление полипа в матке здесь. ЗАПИСЬ по интернету на удаление полипа шейки матки здесь. |

Мы в ПОЛНОМ вашем РАСПОРЯЖЕНИИ при возникновении любых сомнений или пожеланий.
Клинический случай
В Курортную клинику женского здоровья обратилась женщина 32 лет с жалобами на ноющие БОЛИ внизу живота, повышение температуры тела до 37,5 – 37,8°С и скудные ВЫДЕЛЕНИЯ жёлтого цвета из половых путей в течение 1 месяца.
Боли и ПОВЫШЕНИЕ ТЕМПЕРАТУРЫ тела до 37,7°С возникли через 3 дня после родов через естественные родовые пути. Сукровичные выделения из половых путей (лохии) появились после родов.
В настоящий момент женщина КОРМИТ ГРУДЬЮ.
До обращения в Курортную клинику женского здоровья провела 3 курса антибиотикотерапии. На фоне лечения и в течение 3-4 дней после курса антибиотиков боли и повышенная температура тела исчезли и вновь возникли спонтанно (самопроизвольно) через 3-4 дня.
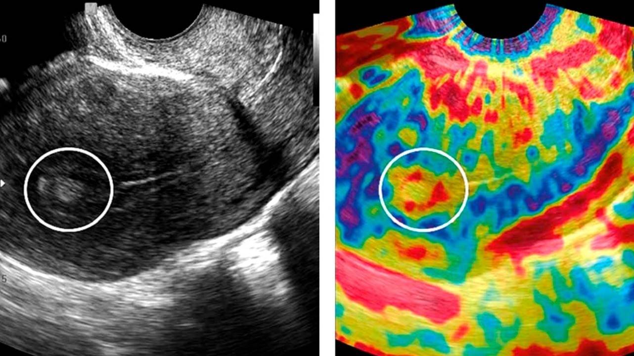
В нашей Клинике проведено комплексное клинико-лабораторное обследование. В результате обследования ВЫЯВЛЕН плацентарный ПОЛИП (фрагмент плацентарной ткани) 11*5 мм, расположенный на задней стенке в средней трети полости матки, с сосудистой ножкой (см. фото 1).
Плацентарный полип возникает вследствие неполного отторжения плаценты (детского места). Наличие сосудистой ножки свидетельствует о достаточном питании данного участка ткани и малой вероятности его самостоятельного отторжения. Однако наличие фрагмента плаценты не позволяет матке полностью сократиться и поддерживает вялотекущий ВОСПАЛИТЕЛЬНЫЙ ПРОЦЕСС в полости матки.
В асептических (безмикробных) условиях под ультразвуковым контролем без расширения канала шейки матки выполнена прицельная пайпель-биопсия плацентарного полипа.
Возможность ультразвукового контроля в Курортной клинике женского здоровья значительно расширяет лечебно-диагностические возможности, позволяя УДАЛИТЬ непосредственно полип БЕЗ ТРАВМАТИЗАЦИИ окружающих тканей.
Гистологическое исследование оперативного материала выявило плацентарный полип с явлениями лейкоцитарной инфильтрации (воспалительной реакции) и очаговым некрозом (отмиранием части плацентарной ткани).
В целях купирования (лечения) воспалительного процесса, полноценного восстановления эндометрия (слизистой оболочки полости матки) и профилактики образования внутриматочных синехий (спаек в полости матки) пациентке в условиях Клиники проведен 5-дневный курс магнитотерапии постоянным магнитным полем низкой частоты и назначены лекарственные средства в виде суппозиториев («свечей») на фитооснове.
Свечи на фитооснове, разработанные врачами Курортной клиники женского здоровья оказывают выраженное местное противовоспалительное действие и не противопоказаны при грудном вскармливании.
На следующий день ПОСЛЕ УДАЛЕНИЯ полипа состояние пациентки нормализовалось: боли внизу живота и повышенная температура тела исчезли, лохии (сукровичные выделения из половых путей) прекратились.
Грудное вскармливание в период лечения в Клинике не прерывалось. Количество грудного молока достаточное.





































