Как отбелить зубы в домашних условиях
При использовании данных методов важно, чтобы у матери и грудничка не было аллергии на какой-либо компонент. Самым распространенным средством является сода
Это сильный и бережный природный отбеливатель. Смешайте четверть чайной ложки соды с водой и почистите зубы полученным составом.

Яблоки и клубника могут отбелить эмаль естественным способом
Но клубнику важно только кушать и не оставлять кусочки ягоды на эмали и деснах. При продолжительном воздействии кислота в составе клубники может повредить зубную эмаль
Кроме того, осторожно следует кушать данную ягоду при лактации, так как это достаточно аллергенный продукт. Полный список аллергенных продуктов вы найдете здесь
Стоматологи рекомендуют периодически полоскать рот подсоленной водой. Для этого размешайте чайную ложку соли в стакане теплой кипяченой воды. Подождите, пока она остынет и прополоскайте рот. Соленая вода ухаживает за деснами, снимает воспаления и убивает вредные микробы. Кроме того, она постепенно отбеливает эмаль.
Смесь лаврового листа и апельсиновой кожуры – еще один доступный способ отбеливания эмали. Для приготовления средства используйте несколько кусочков кожуры апельсина и один лавровый лист. Корочку измельчите, лист разотрите до состояния порошка и перемешайте ингредиенты. Вотрите смесь в зубы и оставьте на пять минут, затем прополощите рот теплой водой. Повторяйте процедуру раз в неделю.
Аналогичным образом можно применить банановую кожуру. Возьмите небольшую часть кожуры банана и протрите зубы. Оставьте состав на две-три минуты и прополощите рот теплой водой. Такую чистку делают дважды в неделю.

Абсолютные противопоказания
Это те, при которых исправлять прикус либо нецелесообразно, либо невозможно.
Отсутствие большей части зубов.
Если жевательные зубы с обеих сторон на верхней и нижней челюстях были разрушены, удалены или отсутствуют, то исправлять положение оставшихся зачастую не имеет смысла. При подготовке к протезированию доктор, скорее всего, предложит альтернативный вариант.
Если зубов немного, брекеты установить нельзя
Дистрофические процессы в кости челюсти, пародонтоз.
Атрофия костной ткани или ее истончение – это синонимы. Суть процесса в том, что клетки костной ткани не обновляются, объем кости постепенно уменьшается, корни зубов начинают хуже держаться в ней и могут расшатываться. Такой процесс требует наблюдения у врача-стоматолога или пародонтолога, так как при должном внимании к своему здоровью можно замедлить развитие заболевания и сохранить зубы. Но лечение у ортодонта, которое сопровождается сильным воздействием на корни зубов, уже не проводится.
Исправлять прикус можно, если ткань кости челюсти плотная и хорошо держит корни зубов
Несколько имплантов.
Даже один имплант ставит возможность исправления прикуса под вопрос, так как обычно при ношении брекетов или элайнеров перемещаются в той или иной степени все зубы. А если имплантов несколько, избежать давления на них невозможно. В отличие от корней зубов, импланты не способны вынести такую нагрузку.
В чем причина ухудшения зубов в период ГВ
Существует несколько факторов, влияющих на ухудшение состояния зубов в период лактации. Прежде всего, это дефицит минеральных веществ в организме кормящей мамы. Чтобы грудное молоко соответствовало потребностям младенца, необходимые вещества (кальций, калий, фтор и т.д.) вытягиваются из костной ткани материнского организма.
Кроме того, на состояние зубов могут влиять гормональные факторы. После родов меняется гормональный фон, что связано с началом лактации. Нарушается метаболизм, ухудшается иммунитет, организм меньше сопротивляется болезням и повреждениям. Вследствие этого даже самая незначительная царапина на зубной эмали может спровоцировать воспалительные и разрушительные процессы.
Как сохранить зубы во время кормления грудью?
Чтобы беременность и кормление грудью не сказалось на состоянии зубов, необходимо ответственно относиться к своему здоровью и выполнять следующие правила:
- В начале беременности необходимо посетить стоматолога и оценить состояние зубов, а также вылечить все, что не вылечено.
- На протяжении всей беременности и периода ГВ регулярно ходить на профилактические осмотры, даже если вас ничего не беспокоит.
- Вести правильный образ жизни, рекомендованный для беременных и кормящих. Сюда входит соблюдения режима сна, отдыха и активного движения, а также сбалансированного питания. Ваш рацион должен содержать все необходимые витамины и микроэлементы, в частности, кальций. Включайте в меню молочные и кисломолочные продукты, зелень, кунжут, правильное соотношение белков, жиров и углеводов.
- Дополнительные витамины и пищевые добавки можно принимать только по назначению врача.
- Уменьшить количество сахара в рационе, чтобы обезопасить себя от бурного развития кариеса.
- Соблюдать гигиену ротовой полости: дважды в день чистить зубы; если нет противопоказаний, пользоваться зубной нитью, ирригатором.
Снизить чувствительность зубов можно посредством реминерализации. При этом используется специальный безопасный раствор, который восстанавливает и укрепляет эмаль. Кроме того, подберите зубную пасту, предназначенную для чувствительных зубов, и зубную щетку соответствующей жесткости.
Чтобы избежать потемнения эмали после рождения ребенка, нужно чистить зубы специально подобранной пастой, а также делать профессиональную стоматологическую чистку в нашем Республиканском Центре стоматологической имплантации. Кроме того, вы можете сделать отбеливание зубов в клинических условиях, если у вас нет противопоказаний к данной процедуре.
Лечение зубов: что можно делать кормящей маме
Больные зубы и инфекции полости рта нужно обязательно лечить, иначе бездействие приведет к еще более отрицательным последствиям. Больные десна разносят инфекцию, которая легко попадет к грудничку, наносит большой урон на иммунитет женщины и может негативно сказаться на выработке и составе грудного молока. Поэтому лечить зубы кормящей маме не только можно, но и нужно. Давайте рассмотрим, какие процедуры можно безопасно выполнять при кормлении грудью.
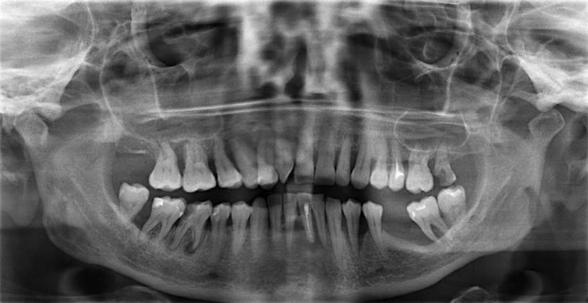
Рентген зубов – безопасная процедура для кормящей мамы, которая не оказывает отрицательного влияния на здоровье человека, протекание грудного кормления, состав и объем грудного молока
Рентген важно делать только на современном цифровом оборудовании с минимальным облучением
В период грудного вскармливания разрешено удаление и пломбирование зубов, лечение пародонтоза. В качестве анестезии при лактации разрешены Лидокаин и Ультракаин. Компоненты средств полностью выводятся из организма через шесть часов. Но кормить малыша можно через два часа после процедуры, когда выводится большая часть элементов. Содержимое препаратов попадает в грудное молоко в минимальной дозе и не приносит вред грудничку.
Чтобы лечение зубов было максимально безопасным для грудничка и лактации, перед походом к стоматологу нужно обязательно покормить малыша, при необходимости сцедить молоко. После процедур и местной анестезии рекомендуется тоже сцедить молоко и вылить. Полноценно покормить грудничков можно через два-четыре часа после лечения. Перед лечением обязательно проконсультируйтесь с врачом!

При грудном вскармливании нельзя делать такие процедуры, как имплантация и отбеливание зубов. Кормящей маме нельзя применять такие обезболивающие лекарства, как Цитрамон и Анальгин, препараты с содержанием кофеина. Данные составы негативно влияют на работу внутренних органов и нервных клеток.
Подписывайтесь на нашу группу Вконтакте
Противопоказания и ограничения к лечению
Противопоказанием к стоматологическому лечению беременной служит любая процедура, способная прямым или косвенным путем навредить организму и стать причиной преждевременных родов. К таким процедурам относят следующие:
Имплантологическое лечение
Как для здорового развития плода, так и для полного приживления имплантата необходимо большое количество кальция. Организм во время беременности не в силах выработать достаточно минерала для обеспечения обоих процессов. Даже прием витаминно-минеральных комплексов порой не дает должного эффекта. Поэтому каждый грамм кальция на счету.
Дополнительная опасность при лечении заключается в необходимости рентген-контроля установки имплантата, а также в назначении лекарственных препаратов во время восстановительного периода. Последние могут оказывать общетоксическое действие не только на организм беременной, но и на процессы развития плода.
Профессиональное отбеливание
Во время отбеливания повреждается эмаль, которая в связи с беременностью может быть несколько обеднена по минеральному составу. Вследствие того, что большая часть вырабатываемого кальция поступает в организм плода, его может не хватить на восстановления верхнего слоя эмали. Как результат – повышенная чувствительность и микротрещины.
Протезирование
Установка несъемных протезов требует особой подготовки: препарирование зуба и формирование культи под коронку, удаление пульпы зуба, пломбирование корневых каналов. Установка коронок противопоказана беременным в 1 и 3 триместрах. Во 2 триместре, при неотложных ситуациях, разрешается съемное протезирование.
Удаление зубов
Удаление зубов, не являющихся причиной дискомфорта (ретенированных или дистопированных), противопоказано в момент беременности. Если есть возможность переноса операции и отсутствуют яркие клинические признаки (боли, покраснение и отек десны), то с целью предупреждения развития инфекции лучше отказаться от процедуры до родов.
Экстренные случаи, требующие незамедлительного удаления зуба:
- Перелом корня или коронковой части зуба.
- Пульпит зубов мудрости.
- Кариозное поражения корня зуба.
- Периодонтит.
- Кисты корня зуба.
- Разрушение более 50% зуба, сопровождающееся нестерпимой болью.
Антибактериальная терапия
Антибиотики во время беременности назначают строго по показаниям и с учетом срока беременности. Для лечения подбираются те группы препаратов, которые не обладают тератогенным действием.
На что обратить внимание при лечении зубов во время беременности
Не каждый врач возьмется за лечение зубов во время беременности. Однако опытный стоматолог знает, от чего зависит успешность и безопасность лечения.
На каком сроке беременности проводить лечение
1 триместр (6-12 недели). Лечить зубы противопоказано. Закладываются все органы и системы малыша, гемато-плацентарный барьер не сформирован. Манипуляции в полости рта могут привести и к распространению инфекции и к нарушению развития плода. Запрет на лечение особенно касается рентген-исследований.
Исключение составляют болезни, при которых главный симптом – острая боль. Тогда производится минимальное вмешательство для облегчения состояния.
Стоматологу обязательно нужно сообщить о беременности, возможных аллергических реакциях, сопутствующих болезнях.
2 триместр (13-27 недели). Идеальное время для того, чтобы разобраться со стоматологическими проблемами. В этот период хорошо проводить следующие процедуры:
- профилактические мероприятия, санацию потенциальных очагов кариеса или пародонтита. Например, профессиональную чистку зубов;
- лечение гингивита (воспаления десен), который часто развивается из-за гормональных изменений и приводит к кровоточивости десен.
- лечение кариеса с применением безопасных современных материалов, которые не проникают через плаценту.
- удаление зубов. Если зуб уже разрушен и показано его удаление, то процедуру проводят максимально бережно.
3 триместр (с 28 недели).
Снова переходим в максимально щадящий режим. Во-первых, повышается угроза преждевременных родов. Во-вторых, сидеть в кресле стоматолога, даже в самом удобном, уже не очень комфортно. Также увеличивается нагрузка на сердечно-сосудистую систему, что может стать причиной обморока, падения давления или наоборот, его резкого повышения.
Не являются противопоказанием
Весь вопрос в том, какой способ лечения подобрать. Для детей помладше часто выбирают съемные пластины, а подростки могут носить такие же элайнеры, как и взрослые. Но начинать исправлять прикус можно сразу после диагностики имеющейся проблемы в любом возрасте.
Старший возраст.
Никакой верхней возрастной планки нет. Если зубы сохранены и есть потребность исправить их положение, лечиться у ортодонта можно в любом возрасте.
Общие заболевания (за очень редким исключением).
Нарушение обмена веществ, астма, аллергия и другие системные заболевания практически никогда не мешают носить ортодонтические конструкции, так как материалы гипоаллергенны, а никакого оперативного вмешательства (как при установке имплантов) не происходит. Если общее состояние пациента удовлетворительное и он может посещать клинику, то, скорее всего, препятствий нет.
Исправление прикуса не только даст Вам красивую улыбку, но и предотвратит многие проблемы с зубами и здоровьем организма в целом. Если Вы сомневаетесь, можно ли Вам проходить ортодонтическое лечение, пожалуйста, обратитесь к врачу-ортодонту и задайте все интересующие Вас вопросы.
Принцип работы по чистке зубов
Air flow — метод профессиональной чистки зубов, разработанный компанией EMS (Швейцария). Данная технология относится к щадящему способу удаления налета, поэтому может применяться уже с подросткового возраста.
Суть процедуры заключается в удалении с поверхности зубной эмали, в промежутках между зубами и в поддесневых карманах мягкого и твердого налета. Процесс очищения происходит под воздействием сжатого потока воздуха, содержащего микрокристаллы карбоната натрия (сода). Одновременно, для исключения перегрева и повреждения эмали отдельно подается очищенная вода, смывающая отделяющиеся отложения.
Чистка зубов Air Flow позволяет очистить не только натуральную эмаль зуба, но также ортопедические конструкции: виниры, вкладки, коронки, брекеты и др. Помимо удаления отложений пескоструйный метод оказывает осветляющий эффект, отбеливания поверхность на 2–3 тона.
Меню
- Клиника
- О клинике
- Врачи
- Новости и акции
- Истории пациентов
- Вакансии
- Официальная информация
- Бонусная программа
- 3D-туры
- Видео
- Наш инстаграм
- Услуги
- Лечение зубов и десен
- Профессиональная чистка
- Чистка зубов Ультразвуком
- Чистка Air-Flow
- Виниры
- Исправление прикуса
- Брекеты
- Зубные пластины
- Трейнеры
- Элайнеры
- Лингвальные брекеты
- Имплантация зубов
- Детская стоматология
- Плановые визиты и профилактика
- Исправление прикуса у детей
- Лечение кариеса зубов у детей
- Удаление зубов у детей
- Лечение молочных зубов
- Фторирование молочных зубов
- Лечение вывиха зуба у детей
- Подрезание уздечки языка и губы у детей
- Протезирование зубов
- Хирургическая стоматология
- Удаление зубов
- Удаление зуба мудрости
- Операции при заболевании десен
- Пластика/Подрезание уздечки
- Лечение флюса
- Диагностика
- 3D диагностика
- Аппаратная диагностика кариеса
- Ортопантомограмма
- Прицельный снимок зуба
- Отбеливание зубов
- Стоматологический туризм
- Цены
- Цены
- Рассрочка
- Лаборатория
- Блог о здоровье
- Контакты
| пн-пт 8:30-21:00 сб 9:00-15:00 |
На приём
Пить или не пить? И что пить?
Гинекологи часто ограничивают беременную женщину в жидкости, оттого важным становится вопрос качества питьевой воды. Выбирайте физиологически полноценную (это термин) — такую, которая содержит необходимый для здоровья набор микроэлементов. Из хорошей питьевой воды в зависимости от жёсткости усваивается 10-30% необходимого беременной кальция. А вот вода, перенасыщенная фтором, может привести к флюорозу — повышенной хрупкости зубов. К сожалению, в некоторых регионах нашей страны фтор добавляют в водопроводную воду. Вывод: в период беременности и грудного вскармливания есть резон перейти на бутилированную воду.
Как проходит процедура
Чистка зубов в клинике Доктор Мартин выполняется современным оборудованием с использованием только безопасных методик. Аир Флоу может применяться для удаления простого налета и зубного камня у детей и взрослых, поскольку щадящий способ воздействия не повреждает даже чувствительную зубную эмаль.
Процедура проводится высококвалифицированными специалистами по схеме:
для защиты глаз от кристаллов соды пациент и врач надевают защитные очки;
в ротовую полость устанавливается слюноотсос;
врач, используя насадку, направляет струю воздуха на каждый зуб, обрабатывая всю его поверхность;
после завершения зубная эмаль покрывается защитным и укрепляющим составом.
В зависимости от твердости отложений специалист регулирует силу давления подачи воздуха. Вся процедура занимает не более 30 минут.
Что же такое рентген?
Это один из видов излучения. Если Вы думаете о том, что рентгеновское излучение присутствует только в рентген кабинете, то можем сказать сразу, что Вы сильно ошибаетесь. Вспомним уроки физики. Мы каждый день получаем незначительные дозы излучения:
- на улице, от естественного источника излучения – солнца;
- дома из бытовых источников, находящихся в квартире: от телевизора, различных гаджетов, холодильника и т.д.
Излучение измеряется в зивертах. Какова же норма излучения, которое может потреблять человек? Допустимая– 1000 зивертов в год.
Теперь давайте вспомним математику и посчитаем то, сколько можно делать человеку рентгеновских снимков. Прицельный снимок одного зуба равен 2-3 микрозивертам. Можно делать в год 300-500 рентгеновских снимков. Панорамный снимок (все зубы) равен 16-18 микрозивертов. Можно делать 60-70 рентгеновских снимков в год.
Теперь разберемся с компьютерной томографией. 1 снимок, сделанный на данном устройстве, равен 60-80 микрозивертов. Можно делать 16-20 рентгеновских снимков в год.
Мы сейчас рассматриваем максимальные значения доз, предусмотренных для рентгеновского оборудования. В нашей клинике установлен радиовизиограф и компьютерный томограф последнего поколения производства Германии. Нагрузка на аппаратах сводится к минимуму.
Раньше при проведении рентгеновского снимка время выдержки (вы его слышите как звуковой сигнал) составлял примерно 2-3 секунды. Сейчас это время уменьшено до 0,05 секунды.
А теперь поговорим о бытовом излучении. Если Вы смотрите телевизор 3 часа на расстоянии менее 2,5 метров от экрана, то получаете примерно 0,5 миллизиверта, т.е. 5 дней посмотрели телевизор, получите 1 рентгеновский снимок. Посидели за монитором компьютера более 3-х часов, получаете 1 микрозиверт, 1 рентгеновский снимок. Слетали на самолете в Турцию, где 3-3,5 часов перелета, получите 10 миллизивертов или 5 прицельных снимков. А еще добавьте облучение от телевизоров, холодильников, микроволновых печей и поймете, что страшного облучения в рентгеновском кабинете Вы не получите.
Относительные противопоказания
К ним относятся такие противопоказания, которые в разных индивидуальных случаях могут помешать лечению, а могут и не оказывать на процесс существенного влияния.
Несколько коронок.
Если в прошлом проводилось протезирование, то при подготовке к лечению нужно обратить пристальное внимание на коронки. На каких зубах они установлены? В каком состоянии корни этих зубов? Не начали ли разрушаться коронки, места их соединения? На какие зубы будет наибольшее воздействие, а какие будут перемещаться на 1–2 мм? Ответив на эти вопросы, доктор сможет сказать, можно ли носить элайнеры или брекеты
Иногда нужно сначала переделать коронку, а затем уже лечиться у ортодонта.
Коронки, в отличие от имплантов, перемещать можно (но осторожно)
Большое количество пломб.
Если у вас запломбированы 10 и более зубов, сами пломбы крупные (занимают больше 50% объема зуба), а в некоторых зубах были удалены нервы, это не значит, что исправлять прикус нельзя. Просто нужно более тщательно обследовать все пломбы и уточнить, не начали ли они разрушаться. Старые пломбы врач может порекомендовать заменить. Современные материалы для лечения позволяют сохранять даже «мертвые» зубы.
Проведенная в прошлом реставрация зуба.
Виниры не устанавливают, если есть нарушения прикуса, так как неправильное смыкание зубов может привести к разрушению, стиранию пластин. Поэтому об этой технологии говорить нет смысла. Однако если в прошлом один или несколько зубов были восстановлены с помощью пломбировочного материала, то, как правило, это не мешает впоследствии носить элайнеры или брекеты – вопрос лишь в качестве реставрации и ее состоянии.
Реставрированный зуб, если его корень не поврежден, не помеха лечению
Когда начинать заботу о зубах вашего ребенка?
Зачатки молочных зубов формируются уже на 6-7 неделе беременности. 17-18 неделя — время, когда закладываются зачатки постоянных зубов (в частности, коронки передних зубов), а минерализация эмали и дентина начинается на 20 неделе и будет продолжаться даже после рождения малыша. Чем раньше будущая мама озаботится подходящим для развития зубов питанием, тем больше будет уверенности в идеальной улыбке ребенка. Сначала вас порадуют крепкие молочные зубки, а они в свою очередь послужат залогом здоровых постоянных зубов. От того, что вы съедите в сакральные 9 месяцев, зависят взаимоотношения вашего чада со стоматологом на всю его жизнь!
Врач-гинеколог обязательно скажет вам, что питание в период беременности должно быть разнообразным и сбалансированным — рыба, мясо, разнообразные молочные продукты, овощи и фрукты. Консультации с диетологом и нутрициологом помогут составить индивидуализированный рацион с учётом показаний и предпочтений. Гастроэнтеролог поможет в случае каких-либо нарушений в пищеварении, например, непереносимости тех или иных продуктов.
Важны и белки, и жиры (да-да, без них не усваиваются некоторые витамины и микроэлементы), и углеводы. Недостаток микроэлементов и витаминов может привести к гипоплазии — эмаль вырастает слишком тонкой и подверженной кариесу. Гипоплазия необратима, поэтому и постоянные зубы тоже могут вырасти с тонкой эмалью. Однако не нужно бежать в аптеку за дорогостоящими витаминными комплексами. Их назначает врач-гинеколог и только по серьёзным показаниям. Всё необходимое для здоровья зубов мамы и малыша есть в продуктах.
Как избежать потемнения зубов
Когда вы добьетесь белоснежного результата зубной эмали, нужно постараться сохранить белизну. Для этого внимательно следите за рационом, применяйте специальные отбеливающие пасты, особенно хорошо подходят травяные. Нужно ограничить применение следующих продуктов:
- Безалкогольные и газированные напитки темного цвета;
- Черный чай и кофе;
- Черника и ежевика;
- Шоколад и шоколадные конфеты;
- Цитрусовые фрукты;
- Томатный соус;
- Некоторые лекарства;
- Жевательный табак и сигареты.
Для сохранения белизны эмали и здоровья десен чистите зубы минимум два раза в день по две-четыре минуты. Регулярно полоскайте рот, используйте зубную нить. Правильный уход своевременно удаляет налет и предотвращает образование пятен на эмали зубов.

Отбеливание зубов при гв
Возможно такое сочетание? Суть отбеливания: удаление налета абразивными пастами, отбеливание щадящей системой Opalescense и Boost. Я очень хочу, но не знаю, можно ли при ГВ. Читать далее →
Девочки, могу порекомендовать средства против выпадения волос и кровоточивости дёсен. Буду рада, если кому-то эта информация пригодится. Итак, против выпадения волос неплохо работает марка Divination Simone DeLuxe. Ссылка: http://www.simone.su/-simone/category/view/3.html Это довольно дорогие препараты, но если проблема стоит остро, то можно пробовать. Мне помогли. Брала шампунь, кондиционер и ампулы. Ещё активно использую марку Kerastase. Ссылка: http://www.loreal-kerastase.ru/shop/CID_217/ У меня на работе есть девушка 30-ти лет – половина головы лысой. После родов вследствие гормональной перестройки полезли волосы. Сделать ничего не могла. Это «зрелище». Читать далее →
яхуууу. вот и вылез первый наш зуб, сегодня я нащупала острый край и торжественно постучали по нему ложкой – стучит! ну а пока у вовы с соплями, кашлем и истериками лезет жуб, я тоже после беременности и родов занялась своими. Уже посетила один раз стоматолога, подлечила один, осталось еще чуток, потом проф.чистка и отбеливание (после окончания ГВ). Читать далее →
Хочется исполнить в будущем, что-то недалеком, а что-то попозже, итак, чтобы мечты стали реальностью: Читать далее →
Решила написать данный пост, может кому пригодится мой опыт заказов с этого замечательного сайта. Начну с того, что Айхерб-маньяком я стала относительно недавно, всего 4 месяца, но уже стабильно заказываю по 4-5 посылок в месяц, не могу без него. Там столько всяких полезностей, но есть также и откровенно маркетинговые продукты, не имеющие пользы, а просто хорошо разрекламированные и хорошо продающиеся. Поэтому я решила написать о товарах, которые заказывала и получила, попробовала я сама. Выбирала я их по отзывам, обзорам, т.е. Читать далее →
Дамы, подскажите, при ГВ можно ли отбеливать зубы в домашних условиях. Вот купила в аптеке систему самостоятельного отбеливания, а там о противопоказаниях ничего не сказано. Кроме того, может кто-нибудь пользовался такой, там ватные палочки и порошок, кончик палочки отламываешь и в порошок, а потом на зубы наносишь? Лень идти название смотреть. А на пломбы это действует? Читать далее →
Девчонки, подскажите, может кто знает или сталкивался лично. Записалась на процедуру отбеливания зубов (air flow + amazing white), но сегодня прочитала, что она противовпоказана при гв. Позвонила в клинику, они объяснили это воздействием ультрафиолетовой лампой (на зубы мажут гель и держат под лампой) Так ли это вредно? Я слышала, некоторые и солярий при гв посещают. Читать далее →
Девочки, могу порекомендовать средства против выпадения волос и кровоточивости дёсен. Буду рада, если кому-то эта информация пригодится. Итак, против выпадения волос неплохо работает марка Divination Simone DeLuxe. Ссылка: http://www.simone.su/-simone/category/view/3.html Это довольно дорогие препараты, но если проблема стоит остро, то можно пробовать. Мне помогли. Брала шампунь, кондиционер и ампулы. Ещё активно использую марку Kerastase. Ссылка: http://www.loreal-kerastase.ru/shop/CID_217/ У меня на работе есть девушка 30-ти лет – половина головы лысой. После родов вследствие гормональной перестройки полезли волосы. Сделать ничего не. Читать далее →
Девочки,очень хочу сделать себе отбеливание зубов!Честно скажу у стоматолога я гость очень редкий!ТТТ Так как проблем зубами никогда не было,кроме желтезны из-за того что курила целых 5 лет!:(А когда бросила,всё ни как не могла отбелить,то беременность,то ГВ и всё ни как!И вот я отстрелялась и теперь хочу занятся отбеливанием. Но вот в чем проблема я НИЧЕГО в этом не понимаю. ;(((Слышала что то про зум отбеливание,но и то не врубаюсь как это делают. ( Расскажите,кто делал?Может посоветуете что-то?А тулячки где хорошие стоматологи,принимают?И САМОЕ. Читать далее →
Начала кровить и ныть десна периодически в одном месте.Думала может из-за ГВ, деть все высасывает.Залезла в любимый интернет погуглить,результаты меня не обрадовали:пора снимать камни с зубов,пока не дошло дело до гингвита и прочей зубной гадости Читать далее →
































